Việc khám sức khỏe tiền hôn nhân, thực hiện xét nghiệm nhiễm sắc thể đồ cũng như bệnh di truyền là cần thiết vì trên thực tế, không ít cặp đôi gặp phải các bất thường dẫn đến vô sinh hoặc không giữ được thai.
Chị Y. (29 tuổi, ở Hà Nội) đã trải qua một lần sảy thai khi thai chưa đến 12 tuần. Năm 2025, niềm hy vọng có con một lần nữa nhen nhóm, nhưng chị lại tiếp tục mất thai ở giai đoạn sớm giống như lần trước. Liên tiếp những biến cố khiến gia đình vô cùng lo lắng. “Sau 2 lần như vậy em và chồng quyết định đi khám di truyền để biết được nguyên nhân vì sao lại không giữ được thai”- chị Y. nói.
Các bác sĩ đã tiến hành kiểm tra sức khỏe tổng quát cho cả hai vợ chồng chị Y. Kết quả ban đầu cho thấy sức khỏe cả hai ổn định, không phát hiện bệnh lý bất thường. Tuy nhiên, nghi ngờ liên quan đến yếu tố sinh sản, bác sĩ chỉ định cả hai thực hiện xét nghiệm nhiễm sắc thể đồ nhằm sàng lọc các rối loạn di truyền có thể ảnh hưởng đến thai kỳ.
Kết quả phân tích cho thấy người vợ mang bất thường nhiễm sắc thể khiến cho bệnh nhân gặp phải tình trạng sảy thai liên tiếp. Bác sĩ đã tư vấn cho vợ chồng chị Y lựa chọn kế hoạch sinh con phù hợp. Một trong những giải pháp được khuyến nghị là thụ tinh trong ống nghiệm (IVF) kết hợp sàng lọc di truyền tiền làm tổ (PGT). Phương pháp này cho phép lựa chọn những phôi không mang bất thường di truyền trước khi chuyển vào buồng tử cung, nhờ đó giảm đáng kể nguy cơ sảy thai và dị tật. Với chị Y, xét nghiệm nhiễm sắc thể đồ thực sự mang lại ý nghĩa rất lớn.
Thực tế có không ít cặp vợ chồng dù bề ngoài hoàn toàn khỏe mạnh nhưng vẫn gặp khó khăn trong hành trình làm cha mẹ, nguyên nhân thường xuất phát từ việc một trong hai người mang bất thường nhiễm sắc thể. Chị Nguyễn Thu Phương, 25 tuổi ở HN đang có kế hoạch làm đám cưới, vì thế, chị Phương và bạn trai đã quyết định đi khám sức khỏe tiền hôn nhân. “Em cũng đọc được thông tin là nên khám sức khỏe trước hôn nhân, xét nghiệm nhiễm sắc thể xem có vấn đề gì ảnh hưởng đến việc mang thai sau này. Nếu chẳng may cả vợ cả chồng có vấn đề gì thì còn được tư vấn để có hướng xử lý sớm. Cả em và bạn trai cùng làm” – chị Phương cho hay.
Sau khi được tư vấn, chị Phương và bạn trai chỉ cần khám sức khỏe tổng quát và làm các xét nghiệm cơ bản, trong đó có xét nghiệm nhiễm sắc thể đồ và sàng lọc các bệnh di truyền. “BS thông báo không có gì bất thường, mình cũng tự tin hơn để bước vào hôn nhân và có em bé. Mong rằng con sinh ra sẽ khỏe mạnh”- chị Phương nói.
Theo các chuyên gia, bất thường nhiễm sắc thể là một trong những yếu tố di truyền quan trọng, có thể dẫn đến sảy thai nhiều lần, thai lưu, hoặc làm tăng nguy cơ sinh con mắc dị tật bẩm sinh, chậm phát triển trí tuệ.
Ths. BSNT Phạm Minh Đức- Chuyên khoa Di truyền - Trung tâm xét nghiệm – Hệ thống y tế Medlatec khẳng định, trong nhiều nghiên cứu được công bố, trong đó có công bố của Hiệp hội sinh sản Hoa Kỳ, tỷ lệ bất thường nhiễm sắc thể chiếm 2-5% các trường hợp vô sinh và chiếm tỷ lệ từ 50-60% các trường hợp có sảy thai tự nhiên trong vòng 3 tháng đầu tiên.
“Nhiễm sắc thể chiếm gần như toàn bộ thông tin di truyền cần thiết cho sự hình thành và phát triển của phôi cho nên khi số lượng và cấu trúc của nhiễm sắc thể bị sai lệch sẽ dẫn đến việc phân chia tế bào sẽ bị rối loạn, do đó, phôi sẽ không thể phát triển bình thường được. Đối với những trường hợp người vợ có bất thường về nhiễm sắc thể có thể gây ra tình trạng suy buồng trứng sớm dẫn đến rối loạn kinh nguyệt, giảm chất lượng và số lượng của trứng. Đối với những trường hợp này, tử cung kém phát triển khiến cho tử cung khó có thể cưu mang được thai trong buồng tử cung. Còn đối với người chồng có bất thường nhiễm sắc thể thì có thể gây ra tình trạng ít tinh trùng hoặc không có tinh trùng”- BS Đức giải thích.
Chính vì vậy, hiện nay theo khuyến cáo, các cặp đôi nên thực hiện xét nghiệm nhiễm sắc thể đồ trước khi mang thai hoặc khám tiền hôn nhân.
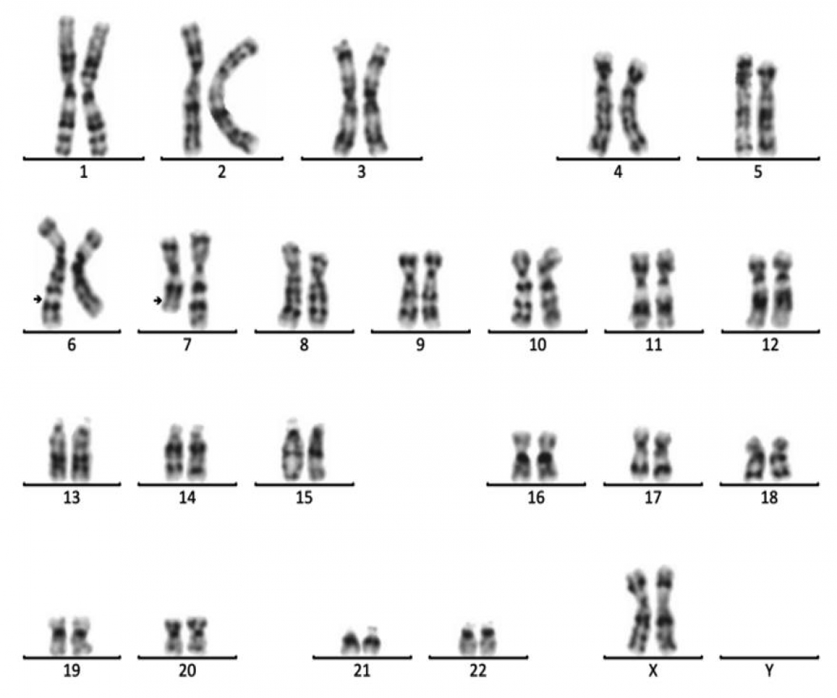
“Xét nghiệm này cho phép quan sát được toàn bộ nhiễm sắc thể để phát hiện ra các bất thường về cấu trúc cũng như bất thường về số lượng của nhiễm sắc thể, đặc biệt trong những trường hợp có chuyển đoạn cân bằng. Trên thực tế, những người mang chuyển đoạn cân bằng không có biểu hiện ra lâm sàng, họ vẫn khỏe mạnh bình thường, nên nếu không thực hiện xét nghiệm nhiễm sắc thể đồ thì sẽ không phát hiện được bất thường. Để đánh giá về bộ nhiễm sắc thể, tùy theo các trường hợp lâm sàng khác nhau có thể sử dụng các kỹ thuật chuyên sâu hơn để phát hiện các bất thường nhiễm sắc thể có cấu trúc nhỏ...”- Ths. BSNT Phạm Minh Đức cho hay.
Theo chuyên gia về di truyền học, xét nghiệm nhiễm sắc thể đồ có thể phát hiện các bất thường về số lượng và cấu trúc của nhiễm sắc thể có cấu trúc lớn ví dụ như hội chứng Down, hội chứng Turner, hội chứng Klinefelter, hội chứng mèo kêu… Tuy nhiên, xét nghiệm nhiễm sắc thể đồ không thể phát hiện các bệnh lý về đơn gen, ví dụ bệnh lý phổ biến, hay gặp ở người Việt Nam như bệnh Thalassemia, teo cơ tủy, thiếu men G6PD… do vậy khi khám tiền hôn nhân hay tiền mang thai, cần phối hợp xét nghiệm nhiễm sắc thể đồ và các xét nghiệm gen khác để tầm soát các bệnh lý di truyền dành cho các cặp đôi
Theo Ths. BSNT Phạm Minh Đức, xét nghiệm nhiễm sắc thể đồ đặc biệt cần thiết đối với vợ chồng có tiền sử sảy thai tự nhiên 2 lần trở lên, các cặp đôi vô sinh chưa tìm rõ được nguyên nhân. Nếu nam giới có tình trạng tinh trùng ít, không có tinh trùng, nữ giới có tình trạng rối loạn kinh nguyệt, dậy thì bất thường, thậm chí gặp phải tình trạng suy buồng trứng sớm. Trong gia đình có người thân mắc các bệnh lý về di truyền, có dị tật bẩm sinh hoặc có trường hợp sinh em bé có dị tật, chậm phát triển về thể chất hoặc trí tuệ thì cũng cần làm xét nghiệm di truyền này.
Sinh ra những em bé khỏe mạnh là mong ước của các cặp vợ chồng và việc khám sức khỏe tiền hôn nhân cũng như thực hiện xét nghiệm về nhiễm sắc thể, bệnh di truyền là chìa khóa để giải mã sức khỏe sinh sản.
Ths. BSNT Phạm Minh Đức, Chuyên khoa Di truyền - Trung tâm xét nghiệm – Hệ thống Y tế Medlatec nhấn mạnh, theo khuyến cáo của Tổ chức Y tế thế giới và Bộ Y tế, các cặp vợ chồng nên khám sức khỏe tiền hôn nhân hoặc tiền mang thai. Đầu tiên phải khám sức khỏe tổng quát để đánh giá chức năng gan, thận, tim mạch cũng như khả năng mang thai của mình. Thứ hai cần tầm soát các bệnh lý truyền nhiễm như HIV, viêm gan B, viêm gan C, giang mai, Rubella… Khi đã tầm soát xong các bệnh truyền nhiễm, cần tiêm chủng trước khi mang thai để phòng ngừa các bệnh lây nhiễm như rubella, thủy đậu, viêm gan B… Với nữ, cần khám sản phụ khoa, siêu âm tử cung, buồng trứng xem có bị dị dạng tử cung hay không, buồng trứng có bị xơ hóa hay không, cũng như thực hiện xét nghiệm về nội tiết hormone sinh dục nữ… Đối với nam giới, cần xét nghiệm tinh dịch đồ xem là có tinh trùng hay không và tinh trùng có bất thường hay không, cũng như xét nghiệm hormone sinh dục nam testosterone. Lưu ý cuối cùng là cần sàng lọc các bệnh lý về di truyền, gồm có xét nghiệm nhiễm sắc thể đồ (để xem có mang bất thường về nhiễm sắc thể đồ hay không) và các xét nghiệm gen phổ biến ở Việt Nam mình như bệnh Thalassemia, teo cơ tủy hay khác bệnh lý khác…/.
