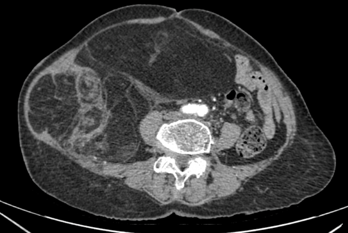
Bệnh nhân N.T.T, 76 tuổi nhập viện do bụng to nhanh, căng tức, biến dạng vùng hạ sườn – mạn sườn phải trong khoảng ba tháng gần đây. Chẩn đoán hình ảnh (CT ổ bụng có thuốc cản quang) cho thấy khối choán chỗ sau phúc mạc, kích thước 28 × 15 cm, cấu trúc hỗn hợp tổ chức mỡ – đặc , đè đẩy tạng trong ổ bụng nhưng không có dấu hiệu xâm lấn các tạng lân cận. Kết hợp lâm sàng và hình ảnh học, bệnh nhân được chẩn đoán sarcoma mỡ sau phúc mạc.
Ca bệnh được đánh giá nguy cơ cao do tuổi bệnh nhân lớn, bệnh lý hô hấp nền và khối u kích thước khổng lồ thâm nhiễm cơ thành bụng. Nguy cơ mất máu nhiều và rối loạn huyết động trong mổ được tiên lượng. Sau hội chẩn đa chuyên khoa, bệnh nhân được chỉ định phẫu thuật cắt bỏ triệt để khối u.
Ê-kíp phẫu thuật mở bụng theo đường giữa trên – dưới rốn mở rộng sang phải, vết mổ dài khoảng 30 cm. Trong mổ ghi nhận khối màu vàng nhạt, thâm nhiễm cơ thắt lưng phải, chưa xâm lấn tạng tuy nhiên u ranh giới không rõ, len lỏi giữa các tạng và cân cơ thành bụng nên phẫu tích gặp nhiều khó khăn.
Phẫu thuật viên tiến hành bóc tách theo mặt phẳng giải phẫu, kiểm soát các nhánh mạch nhỏ, tránh tổn thương tạng lân cận. Toàn bộ khối u được lấy ra nguyên vẹn, nặng gần 4 kg, kích thước 28 × 15 cm.
  Sau mổ, bệnh nhân được hồi sức tích cực, huyết động ổn định, không ghi nhận chảy máu hay nhiễm trùng vết mổ. Kết quả mô bệnh học xác định: sarcoma mỡ mất biệt hoá, diện cắt âm tính tế bào u (R0). Bệnh nhân hồi phục tốt, được xuất viện sau 7 ngày.
Sarcoma mỡ sau phúc mạc (Retroperitoneal Liposarcoma – RPLS) là u ác tính mô mềm hiếm gặp, chiếm khoảng 15–20% các sarcoma vùng sau phúc mạc. Bệnh tiến triển âm thầm, thường chỉ phát hiện khi khối u đạt kích thước lớn, gây chèn ép tạng lân cận. Phẫu thuật triệt để với diện cắt âm tính (R0) là phương pháp điều trị chuẩn, quyết định tiên lượng bệnh. Tuy nhiên, tỷ lệ tái phát tại chỗ cao (30–50%), đặc biệt trong 2–3 năm đầu sau mổ, do đặc tính lan tỏa của mô u trong khoang sau phúc mạc. Do đó, theo dõi định kỳ bằng siêu âm hoặc CT scan mỗi 6–12 tháng là cần thiết. Vai trò của xạ trị hoặc hóa trị bổ trợ còn hạn chế.
Qua ca bệnh này, BSCKII. Lê Văn Thành – Trưởng khoa Ngoại Tổng hợp, Phó Giám đốc Bệnh viện Ung Bướu Hà Nội khuyến cáo người dân, đặc biệt là người cao tuổi, nên khám sức khỏe định kỳ để phát hiện sớm các bất thường trong ổ bụng. Khi thấy các dấu hiệu như bụng to bất thường, đau âm ỉ vùng thắt lưng, cảm giác có khối cứng di động trong bụng, cần đến ngay cơ sở y tế chuyên khoa để được kiểm tra, chẩn đoán và điều trị kịp thời.
