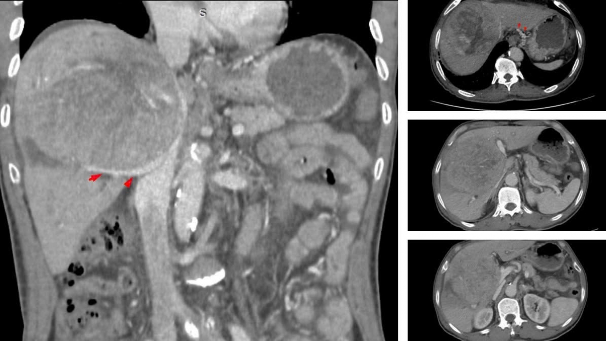
Trước tháng 7/2023, dù cơ thể đã có những phản ứng bất thường, nhưng ông N.V.T chủ quan không đi khám. Kết quả khi kiểm tra khối u gan đã đạt kích thước khổng lồ 10–12 cm, chiếm gần hết nhu mô gan, chèn ép rốn gan và tĩnh mạch, gây ra tình trạng cổ chướng nhẹ và phù hai chân. Tại một số cơ sở y tế, ông từng được tiên lượng thời gian sống có thể không quá 9 tháng.
Điều đáng nói, ông T. đã biết mình mắc viêm gan B từ trước. Tuy nhiên, do có thời điểm virus ở thể không hoạt động, nên ông chủ quan bỏ qua việc theo dõi định kỳ. Chính sự lơ là này đã tạo điều kiện cho các tế bào ác tính âm thầm xâm chiếm cơ thể mà không hề có dấu hiệu cảnh báo rõ ràng.
Theo BSCKII Nguyễn Trường Giang, Phó Giám đốc Trung tâm Phẫu thuật Gan mật - Tiêu hóa, đây là một ca bệnh rất nặng. Các bác sĩ đã quyết định tiến hành cuộc đại phẫu cắt gan trung tâm kéo dài gần 8 giờ. Tuy nhiên, sau mổ, bệnh nhân xuất hiện biến chứng rò mật và hẹp tắc đường mật phân thùy sau. Tình trạng nhiễm trùng đường mật diễn biến nặng với vi khuẩn đa kháng thuốc kèm theo suy gan, khiến quá trình điều trị kéo dài với diễn biến vô cùng phức tạp.
Suốt 5 tháng sau đó dịch mật rò rỉ liên tục khiến cơ thể suy kiệt, cân nặng của ông sụt giảm từ 57kg xuống chỉ còn 38kg. Những cơn sốt cao 39–40 độ kéo dài liên miên khiến ông kiệt sức. Trong lúc tình trạng đang rất mong manh, gia đình cho ông dùng thuốc Nam không rõ nguồn gốc, hậu quả là xuất hiện thêm biến chứng xuất huyết tiêu hóa, buộc phải cấp cứu khẩn cấp, làm gián đoạn nghiêm trọng quá trình hồi phục.
Đến tháng 12/2023, khi thể trạng ổn định, các bác sĩ quyết định phẫu thuật lần hai để xử lý triệt để nguồn rò mật và ổ nhiễm trùng. Trong quá trình điều trị, bệnh nhân tiếp tục phát hiện thêm hai khối u tái phát – một đặc điểm thường gặp của ung thư giai đoạn muộn. Bằng sự phối hợp đa chuyên khoa giữa phẫu thuật, nút mạch và đốt u cao tần, các tổn thương dần được kiểm soát.
Theo BSCKII Nguyễn Trường Giang, đây là một trường hợp điển hình của ung thư gan phát hiện muộn với quá trình điều trị kéo dài và nhiều biến chứng. Nếu bệnh nhân được phát hiện và theo dõi viêm gan B từ sớm và đều đặn, nguy cơ tiến triển thành ung thư gan hoàn toàn có thể được kiểm soát.
Sau gần 3 năm kiên cường chiến đấu, hiện tại tình trạng của ông T. đã ổn định, cân nặng phục hồi và các chỉ số ung thư được kiểm soát. Kết quả này là sự tổng hòa của phác đồ điều trị bài bản, sự kiên trì của người bệnh và sự đồng hành của gia đình. Qua đây, bác sĩ cũng khuyến cáo mạnh mẽ: Viêm gan B và ung thư gan thường diễn tiến không triệu chứng. Việc tầm soát định kỳ là "chìa khóa" sống còn, người bệnh tuyệt đối không được tự ý dùng thuốc không rõ nguồn gốc, tránh để lại những hệ lụy đau lòng khi bệnh đã ở giai đoạn quá muộn.
